ΧΕΙΡΟΥΡΓΙΚΗ ΕΞΑΓΩΓΗ ΔΟΝΤΙΟΥ
με τις αρχές της Σύγχρονης Γναθοπροσωπικής Χειρουργικής
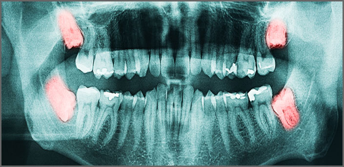
Η χειρουργική εξαγωγή αφορά δόντια ή τμήματα αυτών, τα οποία για να αφαιρεθούν απαιτείται μικρή τομή στα ούλα και αφαίρεση φατνιακού οστού.

Τέτοια δόντια είναι συνήθως οι ημιέγκλειστοι και έγκλειστοι φρονιμήτες, οι ρίζες νεογιλών δοντιών που αγκαλιάζουν τα μόνιμα και εμποδίζουν την ανατολή τους, σπασμένες ρίζες και ακρορίζια, δόντια με δυσπλασίες ή πολύ κεκαμμένες ρίζες, αγκυλωμένα δόντια κ.α.
Στο οδοντιατρείο VSmile Πειραιά, εφαρμόζουμε χειρουργικές τεχνικές που ακολουθούν αυστηρά τις αρχές και τους κανόνες της σύγχρονης Γναθοπροσωπικής Χειρουργικής, καθώς και ψυχολογικές μεθόδους που προτείνει η Ιατρική Ψυχολογία, με σκοπό να ολοκληρωθεί η εξαγωγή χωρίς να αγχωθεί ο ασθενής, απολύτως ανώδυνα και με την μικρότερη δυνατή μετεξακτική ενόχληση.
Για την κάλυψη των πιο ειδικών και περίπλοκων περιστατικών υπάρχει συνεργασία με ειδικό γναθοχειρουργό.
Ενημερώσου για τη διαδικασία της εξαγωγής και τις μετεξακτικές οδηγίες, πατώντας τα κουτάκια:
Επικοινωνήστε με το οδοντιατρείο VSmile και
ΘΑ ΦΡΟΝΤΙΣΟΥΜΕ ΤΟ ΧΑΜΟΓΕΛΟ ΣΑΣ!















