ΠΕΡΙΟΔΟΝΤΟΛΟΓΙΑ:
μήπως έχετε περιοδοντική νόσο και δεν το γνωρίζετε?
TI EINAI H ΠΕΡΙΟΔΟΝΤΙΚΗ ΝΟΣΟΣ?
Η περιοδοντική νόσος προσβάλλει τους ιστούς που στηρίζουν τα δόντια στη γνάθο και εμφανίζεται σε παιδιά, εφήβους και ενήλικες. Το ποσοστό των ατόμων που πάσχουν αυξάνεται με την ηλικία. Έτσι ένα μεγάλο μέρος του πληθυσμού έχει ήδη τη νόσο και ένα ακόμα μεγαλύτερο θα νοσήσει τα επόμενα χρόνια. Η περιοδοντική νόσος εκδηλώνεται ως ουλίτιδα, ως περιοδοντίτιδα ή ως μια τοπική διαφοροποίηση στα ούλα (π.χ. υπερπλασία).
- Ουλίτιδα είναι η φλεγμονή μόνο των ούλων, αποτελεί την αρχική μορφή της περιοδοντικής νόσου και αν δεν θεραπευτεί έγκαιρα μεταπίπτει σε περιοδοντίτιδα.
- Περιοδοντίτιδα είναι η εξάπλωση της φλεγμονής κάτω από τα ούλα που προσβάλλει τους ιστούς που συγκρατούν τα δόντια, με αποτέλεσμα τα δόντια να χάνουν τη στήριξή τους, να αποκτούν κινητικότητα και πολλές φορές να καταλήγουν σε εξαγωγή. Η περιοδοντίτιδα αποτελεί την κύρια αιτία απώλειας δοντιών στους ενήλικες.
ΠΟΙΑ ΕΙΝΑΙ ΤΑ ΣΥΜΠΤΩΜΑΤΑ ΤΗΣ ΠΕΡΙΟΔΟΝΤΙΚΗΣ ΝΟΣΟΥ?

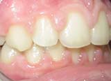
κλινική εικόνα ουλίτιδας περιοδοντίτιδα σε γυναίκα 22 ετών ακτινογραφική εικόνα περιοδοντίτιδας
Οι περισσότεροι ασθενείς δεν γνωρίζουν ότι πάσχουν από περιοδοντική νόσο και όταν το αντιλαμβάνονται για κάποιους είναι ήδη αργά. Τα συμπτώματα ποικίλλουν από ασθενή σε ασθενή και δεν συμβαδίζουν πάντα με τη σοβαρότητα της νόσου. Σωστό είναι να απευθύνεται κάποιος στον οδοντίατρο, αν παρουσιάζει κάποιο από τα παρακάτω συμπτώματα:
- αιμορραγία των ούλων κατά το βούρτσισμα ή αυτόματη αιμορραγία άνευ αιτίας
- κόκκινα, πρησμένα ή ευαίσθητα ούλα
- ούλα που έχουν υποχωρήσει και αποκαλύπτουν τις ρίζες των δοντιών
- δυσοσμία
- κινητικότητα των δοντιών
- πύον ανάμεσα στα δόντια και τα ούλα
- αλλαγή στη θέση και σχέση των δοντιών μεταξύ τους
ΠΟΥ ΟΦΕΙΛΕΤΑΙ Η ΠΕΡΙΟΔΟΝΤΙΚΗ ΝΟΣΟΣ?
H περιοδοντική νόσος οφείλεται στην "πλάκα", δηλαδή σε μια κολλώδη λευκή ουσία αποτελούμενη από μικρόβια που υπάρχουν στο στόμα. Με σωστή στοματική υγιεινή, η πλάκα απομακρύνεται από τον ίδιο τον ασθενή. Αν η στοματική υγιεινή δεν είναι σχολαστική, η πλάκα κολλά στα δόντια, απορροφά άλατα και μετατρέπεται σε "πέτρα", την οποία μπορεί να απομακρύνει μόνο ο οδοντίατρος.

κλινική εικόνα της "πέτρας" σε ενήλικες
Τα τοξικά προϊόντα που παράγουν τα μικρόβια της πλάκας και της πέτρας, αποκολλούν τα ούλα από τα δόντια, καταστρέφουν τον υποκείμενο ιστό που τα στηρίζει και επιτρέπουν την προσρόφηση νέων μικροβίων, δημιουργώντας έναν καταστροφικό για τους ιστούς κύκλο.
Διάφοροι παράγοντες όπως η κληρονομικότητα, το άγχος, η εγκυμοσύνη, ορισμένες ασθένειες (πχ, διαβήτης), κάποια φάρμακα (π.χ. καρδιολογικά, αντισυλληπτικά) και κυρίως το κάπνισμα επηρεάζουν και επιδεινώνουν τη νόσο.
ΠΩΣ ΑΝΤΙΜΕΤΩΠΙΖΕΤΑΙ Η ΠΕΡΙΟΔΟΝΤΙΚΗ ΝΟΣΟΣ?

Στο οδοντιατρείο VSmile Πειραιά η περιοδοντική θεραπεία πραγματοποιείται από την οδοντίατρο με συντηρητικές και χειρουργικές μεθόδους.
- Οι συντηρητικές μέθοδοι στοχεύουν στον καθαρισμό της πλάκας και της πέτρας πάνω και κάτω από τα επίπεδα των ούλων. Εφαρμόζονται σε ουλίτιδες (βλ. θεραπεία ούλίτιδας) ή αρχόμενες περιοδοντίτιδες και ως προεργασία πριν την χειρουργική μέθοδο, σε πιο προχωρημένες μορφές περιοδοντίτιδας.
- Οι χειρουργικές μέθοδοι στοχεύουν στον βαθύτερο καθαρισμό των ριζών από την πέτρα και την τοποθέτηση υλικών ανάπλασης των κατεστραμμένων ιστών. Εφαρμόζονται στις πιο βεβαρυμένες μορφές περιοδοντικής νόσου (βλ. θεραπεία περιοδοντίτιδας). Oι χειρουργικές τεχνικές που εφαρμόζει η οδοντίατρος του VSmile είναι ελάχιστα επεμβατικές και πλήρως αποδεκτές από τους ασθενείς.
Στο οδοντιατρείο VSmile:
- διαμορφώνουμε ατομικό πρόγραμμα στοματικής υγιεινής για τον κάθε ασθενή, που καθορίζεται από την ηλικία, τις ανάγκες και τις ιδιαιτερότητές του
- ακολουθούμε σύστημα διατήρησης του αποτελέσματος με επανάκληση του ασθενή ανά 3-6 μήνες, ανάλογα με την περίπτωση, για επαναξέταση, καθαρισμό και περαιτέρω οδηγίες
- θεωρούμε ότι η καλύτερη αντιμετώπιση της περιοδοντικής νόσου είναι η πρόληψη !
ΜΑΘΕ ΠΕΡΙΣΣΟΤΕΡΑ ΓΙΑ ΟΥΛΙΤΙΔΑ - ΠΕΡΙΟΔΟΝΤΙΤΙΔΑ ΑΝΟΙΓΟΝΤΑΣ ΤΑ ΚΟΥΤΑΚΙΑ
Επικοινωνήστε με το οδοντιατρείο VSmile και
ΘΑ ΦΡΟΝΤΙΣΟΥΜΕ ΤΟ ΧΑΜΟΓΕΛΟ ΣΑΣ!










