ΘΕΡΑΠΕΙΑ ΟΥΛΙΤΙΔΑΣ:
..χωρίς αναισθησία ... ανώδυνα με υπέρηχους!!...
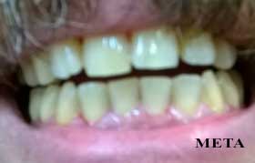
Η ουλίτιδα αποτελεί την ηπιότερη μορφή περιοδοντικού νοσήματος και δύναται να εμφανιστεί σε όλες τις ηλικίες.
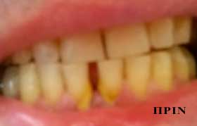
Χαρακτηρίζεται από ερυθρότητα, αιμορραγία και οίδημα των ούλων και αν δεν αντιμετωπιστεί έγκαιρα μπορεί να εξελιχθεί σε περιοδοντίτιδα.

Κύρια αιτία της ουλίτιδας είναι η ελλιπής στοματική υγιεινή εκ μέρους του ασθενή. Πολλές φορές υπόβαθρο για την εμφάνιση ουλίτιδας είναι η παρουσία ασθενειών (π.χ. διαβήτης), η λήψη συγκεκριμένων φαρμάκων (π.χ. αντισυλληπτικών), το στρες, το κάπνισμα και οι ορμονικές μεταβολές (π.χ. εφηβεία).
Ιδιαίτερη αναφορά πρέπει να γίνει στην ουλίτιδα που εμφανίζεται στις έγκυες γυναίκες λόγω της αύξησης των οιστρογόνων και της προγεστερόνης. Η ουλίτιδα εγκυμοσύνης μπορεί να εμφανιστεί παρά την καλή στοματική υγιεινή, με συμπτώματα που έχουν αυξανόμενη ένταση μέχρι τον ένατο μήνα. Το οίδημα των ούλων ενδέχεται να οδηγήσει στην εμφάνιση μικρού καλοήθους όγκου, που εντοπίζεται στις μεσοδόντιες θηλές και ονομάζεται "επουλίδα εγκυμοσύνης". Αν η επουλίδα δεν υποχωρήσει μετά τον τοκετό, αφαιρείται από περιοδοντολόγο.
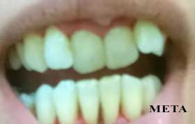
Η oυλίτιδα είναι νόσος αντιστρεπτή και πλήρως ιάσιμη, αν εφαρμοστεί η κατάλληλη θεραπεία, με απαραίτητη όμως προϋπόθεση ότι ο ασθενής τηρεί άριστη στοματική υγιεινή και προσέρχεται στο ιατρείο για επανέλεγχο ανά τακτά χρονικά διαστήματα(συνήθως 6 μήνες).
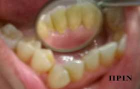
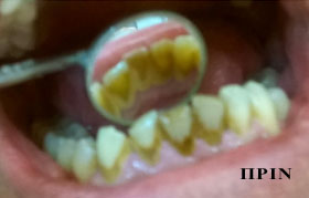
Η θεραπεία της ουλίτιδας είναι συντηρητική και γνωστή στους περισσότερους με τον όρο "καθαρισμός", μιας και στοχεύει στον καθαρισμό των ριζών από πλάκα και πέτρα, πάνω και κάτω από τα επίπεδα των ούλων.
Ο ΚΑΘΑΡΙΣΜΟΣ :
- πραγματοποιείται ανώδυνα με την εφαρμογή συστήματος υπερήχων και εργαλείων χειρός
- δεν απαιτεί τοπική αναισθησία, παρά μόνο αν υπάρχει οδοντική ευαισθησία και χωρίς να υπάρχει πόνος ή οίδημα μετά την παρέλευσή της
- εφαρμόζεται σε όλες τις περιοχές του στόματος που υπάρχουν φυσικά δόντια και συνήθως ολοκληρώνεται σε μία επίσκεψη
Στο οδοντιατρείο VSmile:

- χρησιμοποιούμε σύστημα υπερήχων υψηλής τεχνολογίας που προσφέρει απόλυτη ακρίβεια στη θεραπεία, δεν τραυματίζει τα ούλα και επιτρέπει τον σωστό και ασφαλή υπερουλικό και υποουλικό καθαρισμό των οδοντικών εμφυτευμάτων, με την ειδικά προσαρμοζόμενη ακίδα πολυμερούς υλικού
- διαμορφώνουμε ατομικό πρόγραμμα στοματικής υγιεινής για τον κάθε ασθενή, που καθορίζεται από την ηλικία, τις ανάγκες και τις ιδιαιτερότητές του
- εφαρμόζουμε ειδικό πρόγραμμα πρόληψης και φροντίδας σε μέλλουσες μητέρες πριν και κατά την διάρκεια της εγκυμοσύνης.
- ακολουθούμε σύστημα διατήρησης του αποτελέσματος με επανάκληση του ασθενή ανά 4-6 μήνες,ανάλογα με την περίπτωση, για επανεξέταση, καθαρισμό και περαιτέρω οδηγίες
Επικοινωνήστε με το οδοντιατρείο VSmile και ενημερωθείτε με λεπτομέρειες για την ουλίτιδα.
Επικοινωνήστε με το VSmile
... ΚΑΙ ΧΑΜΟΓΕΛΑΣΤΕ ΞΑΝΑ!...

















