ORTHODONTICS
...when science becomes art!..
What orthodontic therapy has to offer:
Orthodontics is a modern speciality of dentistry that cures abnormalities that have to do with the positioning of the teeth, the alignment of the bite and the positioning of the jaws with each other, the aim of orthodontic work is to improve the look of the face and the functionaity of the mouth/jaw system.
Orthodontic therapy helps with keeping the teeth and gums healthy, helps with breathing, helps with ease of chewing and speech and assist in the harmonic look of the face, all of which help the patient's mental health and increases their confidence.
At which age can orthodontic treatment start?
Orthodontic therapy can start at any age. The only restrictment is that the peridontal tissue is in good health before beginning the therapy.
The first visit to the orthodontist usually happens around the age of 7 years old, so that if any threapy is requires a time line can be established alongisde the program of threapy rquired.
At the VSmile dental clinic we are especially careful about the psychological approach for children and tennagers, that are coming to us for the first time and are candidates for orthodontic treatment. This helps the children get over any fears they may have and make them feel safe and that they can place their trust in us.
How long does orthondontic therapy take?
The lenght of any orthodontic treatment is entirely dependent on the sobarity of the situation and the cooperation of the patient. Usually the time frame is between 6 months and two years, it can sometimes take longer.
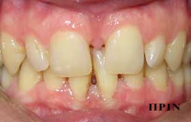
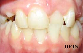
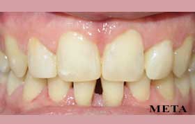
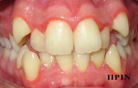
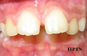
What are the different types of orthodontic therapy?
Orthodontic therapy can be accomplished using either removable or irremovable braces, these depend on each case as to which or both are used.
Removable devices are acryllic or transparent acryllic braces and irremovable devices are what are widely known as 'braces'. As an additional help, the use of intraoral devices may be needed during sleep.
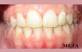
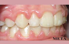
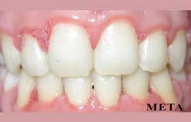
At the VSmile dental clinic the therapy is carried out using the latest types of removable and irremovable devices, with excellent aesthetic looks and in some cases these can even be "invisible" to those around you (see invisible dentistry)
What are the stages of orthodontic treatment?
Each orthodontic treatment undertaken at our dentist is dealt with using a combination of scientific knowledge and realiability, with order, balance, unity, contrast and harmony, the five basic rules of art. This combination is religiously kept in the four stages that are undertaken during therapy:
- the careful study and clinical evaluation of the xrays (head and panoramic xrays), the construction of casts and the taking of photos
- the diagnosis and therapy plan
- the active phase of moving teeth
- the upkeep of the results
Before beginning, and during the therapy, we support the patient not only with psychological support and encouragment but also with a continuing program of preventative dentistry which includesι :
- oral hygiene
- restoring decay when necessary
- regular cleaning
- florosis
- sealants
- dietary advice
- construction of athletic mouthguard
Contact VSmile to find out more about the art of orthodontics!!!
what else is art but details!
Constantinos Kabafis, 1868-1933, Poet
Contact VSmile Dental Clinic
WE'LL TAKE CARE OF YOUR SMILE!

Stamataki Vassiliki, DDS / Dental Surgeon Piraeus Dentistry Association
Kountouriotou 149-151, Peiraias Centre Dimotiko Theatro / 2104120029 / stamataki@vsmile.gr
Cosmetic, Reconstructive & Athletic Dental Surgeon - Smile Design / Implants
Pain Management / Preventative Care for adults, children, the disabled, the pregnant, athletes
Remote Dentistry / Dental Services for all areas of Piraeus, Attica, villages, islands, overseas
Stamataki Vassiliki, DDS / dental clinic / vsmile / Greece



