What abnomalies can orthodontics treat?
After the initial check, the dentist and orthodontist at VSmile Piraeus are able to determine who needs orthodontic therapy and a treatment plan to correct each individual problem.
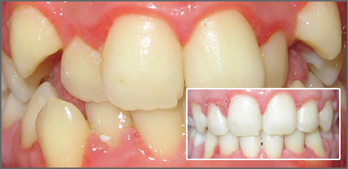
Orthodontics can treat both inherited and acquired anomalies.
Acquired anomalies are those that were not present at the time of birth, and are created during the formation of teeth and jaw and are:
- activities involving the mouth such as breastfeeding, or thumb suckingσ etc.
- problems breathing from enlarged tonsils or adenoids etc.
- early loss of milk teeth from decay, injury etc.
Inherited are those that are already there at birth, they come from genetic predisposition:
- various clefts, deformities or asymmetries of the face or jaw
- sparse, crooked, protruding or supernumerary teeth
Contact VSmile Dental Clinic
WE'LL TAKE CARE OF YOUR SMILE!

Stamataki Vassiliki, DDS / Dental Surgeon Piraeus Dentistry Association
Kountouriotou 149-151, Peiraias Centre Dimotiko Theatro / 2104120029 / stamataki@vsmile.gr
Cosmetic, Reconstructive & Athletic Dental Surgeon - Smile Design / Implants
Pain Management / Preventative Care for adults, children, the disabled, the pregnant, athletes
Remote Dentistry / Dental Services for all areas of Piraeus, Attica, villages, islands, overseas
Stamataki Vassiliki, DDS / dental clinic / vsmile / Greece


