GINGIVITIS TREATMENT: without anesthetic..painlessly with ultrasound!
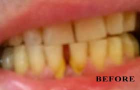
Gingivitis is a calmer variety of peridontal disease and can appear at any age.
It is characterised by redness, bledding and swelling of the gums and if it not dealt with immediately will lead to peridontisis.

The main cause of gingivitis is a lack of oral hygiene on behalf of the patient. Often is can be caused by an underlying disease (e.g.diabetes), taking of certain medications (e.g. contraceptives), stress, smoking or hormonal causes (e.g. teenagers).
It is also well worth mentioning that gingivitis appears in a lot of pregnant ladies due to the oestrogen and progesterone. Gingivitis in expectant mothers can appear even when oral hygiene is adhered to perfectly, the symptoms increased during the entire pregnancy. Bleeding of the gums can lead to small benign tumours, they are located inbetween the teeth and are called pyogenic granuloma (pregnancy tumours). If the tumour does not go away after birth, it will be removed by a peridontologist.
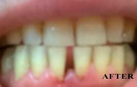
Gingivitis is a reversible and completely curable disease, if the correct treatment is applied, and providing the patient upkeeps good oral hygiene and visits the dentist regularly (usually every 6 months).
The treatment of gum disease (gingivitis) is conservative and is known to most as "cleaning", as it is aimed as cleaning the roots from plaque from tartar, and a lower and upper level.
Cleaning :
- it is painless and done using an ultrasonic system and hand tools
- local anesthetic is not necessary, only if there is sensitivity, and without there being any bledding or pain afterwards.
- it is done on all of the areas of the mouth where there are natural teeth, and can usually be completed in one visit.
At the VSmile dental clinic:

- we use a high technology ultrasonic system that helps give precision to the treatment, it doesn't damage the gums and allows the dentist to clean above and below the gums and implants safely with the specilized polymer tip
- we create a personlized oral hygiene program for each individual patient, depending on age, needs and individual specialities
- we have a special program for prevention and care in expectant mothers before and during pregnancy
- we follow a system of upkeep for the result for the patients within 4-6 months of the cleaning appoitment to re-check, re-clean and give further guidelines.
Contact the VSmile dentist to learn more about gum disease.
Contact VSmile Dental Clinic
WE'LL TAKE CARE OF YOUR SMILE!

Stamataki Vassiliki, DDS / Dental Surgeon Piraeus Dentistry Association
Kountouriotou 149-151, Peiraias Centre Dimotiko Theatro / 2104120029 / stamataki@vsmile.gr
Cosmetic, Reconstructive & Athletic Dental Surgeon - Smile Design / Implants
Pain Management / Preventative Care for adults, children, the disabled, the pregnant, athletes
Remote Dentistry / Dental Services for all areas of Piraeus, Attica, villages, islands, overseas
Stamataki Vassiliki, DDS / dental clinic / vsmile / Greece








