PERIDONTISIS TREATMENT
the success of the treatment is in your hands!
What is periodontisis?
If gum disease (gingivitis) is not diagnosed in time that it can lead to periodontisis.
Periodontisis is the spreading of bacterial inflammation under the gums, that slowly leads to the destruction of the tissues that support the teeth. The result of this inflammation means that the teeth loose thier support and start moving, many times resulting in extraction. Periodontisis is the leading cause of tooth loss in adults.
Periodontisis takes over silently and is characterised by it's long journey and unpredictable speed. The symptoms vary from patient to patient, and often do not show the sobarity of the disease.

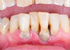
clinical peridontisis
Most of the patients that have periodontisis are unaware of it. Smokers are especially slow to realise the problem due to the lack of bleeding with is one of the main clinical indicators from periodontisis.
How is periodontisis cured?
Treatment of periodontisis can be conservative, surgical or a combination of both:

Conservative treatment at VSmile:
- is used in the initial stages of the disease or as preparation for the surgical method
- it is aimed at cleaning plaque and tartar above nad below the gumline
- it is done easily with local anesthetic without causing pain or bleeding
- it is used througout the mouth, wherever there are natural teeth and can usually be completed in 4-6 visits to the dentist

Surgical treatment at VSmile:
- it used for more advanced cases of periodontisis and is usually done once the conservative method has already been done
- it is aimed at the deep cleaning of roots from tartar, the movement of tissue and possible placement of reformation material (e.g grafts)
- the number of places that need to be worked on surgically depends on the sobarity of the disease.
- a high technology ultrasound system offers precision during the treatment, without damaging gums and microsurgical techniques that are only minor surgery and perfectly acceptable to the patient (for very serious cases we work together with a peridontologist)
- it is done painlessly using a local anesthetic - small minor irritations that may appear afterwards can be controlled with anti-inflammatory medication, and any bleeding can be controlled by placing a cold item (e.g. ice)
- any stitches will be removed after a week
- antibiotics are only prescribed if absolutely necessary
What does a successful periodontic treatment depend on?
At the VSmile dental clinic in Piraeus we explained to our periodontisis patient that the success of the treatment does not depend only on the sobarity of the situation and the individualities of each case but the chances of a patient managing to keep their natural teeth in their mouth depends highly on good oral hygiene. We suggest our patients come back from a check at regular intervals and as such the VSmile dental surgery:
- we create an individual oral hygiene program for each patient, that is determined by age, needs and individualities
- we follow an upkeep system to monitor the results and recall the patients every 3-6 months, depending on the case, re-check, cleaning and additional guidelines
NB: the best way to deal with periodontisis is prevention!
learn more by clicking ont he links below:
Contact VSmile Dental Clinic
WE'LL TAKE CARE OF YOUR SMILE!

Stamataki Vassiliki, DDS / Dental Surgeon Piraeus Dentistry Association
Kountouriotou 149-151, Peiraias Centre Dimotiko Theatro / 2104120029 / stamataki@vsmile.gr
Cosmetic, Reconstructive & Athletic Dental Surgeon - Smile Design / Implants
Pain Management / Preventative Care for adults, children, the disabled, the pregnant, athletes
Remote Dentistry / Dental Services for all areas of Piraeus, Attica, villages, islands, overseas
Stamataki Vassiliki, DDS / dental clinic / vsmile / Greece


