SURGICAL TOOTH EXTRACTION
using the principles of Modern Maxillofacial Surgery
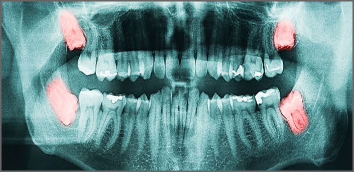
Surgical extractions concerns the removal of the entire or part of a tooth, for which the removal requires a small incision in the gum and the removal of alveolar bone.

These teeth are usually covered or partially covered wisdom teeth, the roots of milk teeth that are wrapped around the permanent teeth and blocks thier direction, broken roots and root tips, tooth deformaties and teeth with very curved roots and teeth that sink back below the occlusal plane etc.
At the VSmile dental clinic n Piraeus, our surgical techniques strictly follow the rules of modern maxillofacial surgery, and the psycological methods suggested by doctoral psychology, with the aim of completing the extraction without stressing the patient, without causing pain and without any major irritations afterwards.
To cover even the most complicated cases we work together with a oral surgeon.
Learn more about the process of extractions and post-surgical instructions, select the links below:
Contact VSmile Dental Clinic
WE'LL TAKE CARE OF YOUR SMILE!

Stamataki Vassiliki, DDS / Dental Surgeon Piraeus Dentistry Association
Kountouriotou 149-151, Peiraias Centre Dimotiko Theatro / 2104120029 / stamataki@vsmile.gr
Cosmetic, Reconstructive & Athletic Dental Surgeon - Smile Design / Implants
Pain Management / Preventative Care for adults, children, the disabled, the pregnant, athletes
Remote Dentistry / Dental Services for all areas of Piraeus, Attica, villages, islands, overseas
Stamataki Vassiliki, DDS / dental clinic / vsmile / Greece



