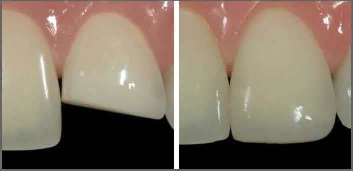
INDICATIONS FOR TOOTH BONDING
Tooth Bonding has excellent results in the folllowing cases:
- broken teeth or old damaged fillings
- replacing discoloured or spotted teeth
- to extend teeth that are short or small in relation to the lips, face or adjacent teeth.
- to fill the gaps between teeth when the teeth are spread out.
- to improve the look of teeth that are twtisted or bent towards the inside of the mouth
- to protect the cervical part of the tooth when the gums have receeded
- for people requiring orhtodontic treatments, but who do not wis to proceed with it

Bonding is not possible:
- for patients who clench or grind their teeth (i.e. people with bruxism)
- for patients who bite their nail or hold items in their teeth e.g. glasses or pencils
Contact VSmile Piraeus to learn more about the bonding technique.
Find out more about bonding by clicking on the boxes below:
Contact VSmile Dental Clinic
WE'LL TAKE CARE OF YOUR SMILE!

Stamataki Vassiliki, DDS / Dental Surgeon Piraeus Dentistry Association
Kountouriotou 149-151, Peiraias Centre Dimotiko Theatro / 2104120029 / stamataki@vsmile.gr
Cosmetic, Reconstructive & Athletic Dental Surgeon - Smile Design / Implants
Pain Management / Preventative Care for adults, children, the disabled, the pregnant, athletes
Remote Dentistry / Dental Services for all areas of Piraeus, Attica, villages, islands, overseas
Stamataki Vassiliki, DDS / dental clinic / vsmile / Greece


