DENTURES ON IMPLANTS
helping your self esteem and improving your life quality!
Even the most well constructed dentures create problems for people who have worn them for years. The jaw bone sinks in when there are no longer teeth present, and this then creates problems with the fit of the dentures and causes problems with speech and chewing.
Modern day dentistry has found a solution for people who are having trouble with their dentures. Implants can be used to perfectly support dentures.
In order for dentures to be placed there needs to be at least 2 implants in the lower jaw and at least 4 in the upper jaw. Only a short time after the placement of implants, the implants become 'one' with the jaw bone. When this process is complete we are able to place the dentures which fit perfectly onto the implants.
Using this method the dentures stay in place perfectly and don't cause any problems with chewing and speech. The stability provides a feeling of safety for the person wearing then and as such generally enhances their self esteem. Research has shown that people who wear dentures on implants eat better and have a better and more active social life and are more balanced emotionally!
In order for the dentures to remain in a good state for many years the wearer needs to maintain good oral health, to clean the dentures regularly and to visit the dentist to take care of the implants.
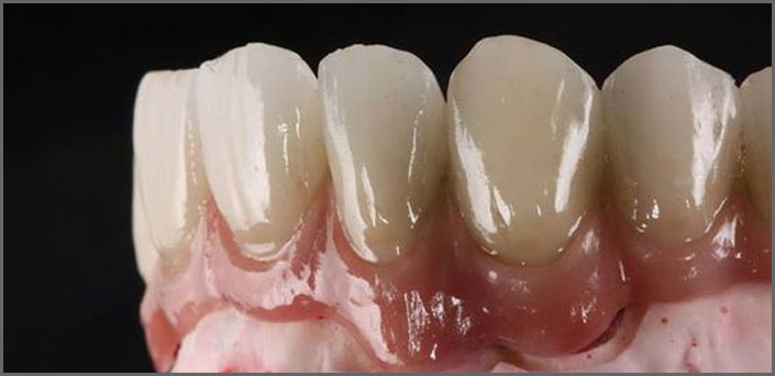
The implants that are placed by the Piraeus VSmile dental team, are from a reliable global company that offers quality and guarantee. Taking care of and cleaning implants by cleaning in and around the gums is done using a specialized polymer material and a sharp implement. The dentures that are placed are made of PMMA, a material that resembles human enamel, and as such gives a natural looks and good functionality.
Contact VSmile Dental Clinic
WE'LL TAKE CARE OF YOUR SMILE!

Stamataki Vassiliki, DDS / Dental Surgeon Piraeus Dentistry Association
Kountouriotou 149-151, Peiraias Centre Dimotiko Theatro / 2104120029 / stamataki@vsmile.gr
Cosmetic, Reconstructive & Athletic Dental Surgeon - Smile Design / Implants
Pain Management / Preventative Care for adults, children, the disabled, the pregnant, athletes
Remote Dentistry / Dental Services for all areas of Piraeus, Attica, villages, islands, overseas
Stamataki Vassiliki, DDS / dental clinic / vsmile / Greece


